Implant and Restorative Dentistry
Greer, SC
Flexible Scheduling
Same-Day Crowns
15+ Years of Experience
Hours:
Request Call Back
Hero Request Form
Thank you for contacting us.
We will get back to you as soon as possible.
Please try again later.
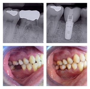
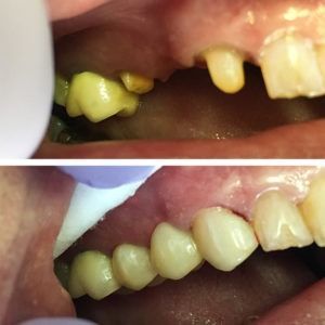
Comprehensive Implant and Restorative Dental Care
At Crescent Family Dentistry, we offer comprehensive implant and restorative dentistry services to patients in Greer, SC. Our reliable team specializes in providing natural-looking dental implants, a safe and durable solution for missing teeth that look and function like your natural teeth.
We understand the importance of restoring your smile's appearance and oral function. Our implant and restorative dentistry services include:
- Dental implants
- 3D Cone Beam X-Ray technology
- Customized treatment plans
- Tooth extractions
- Tooth-colored fillings
- Bridges
- Restorative treatments
- Same-day crowns
- Clear braces
- General dentistry
Call Crescent Family Dentistry and explore how our implant and restorative dentistry services can help you achieve a healthier, more confident smile.
Why You Might Need Implant and Restorative Dentistry
There are numerous reasons why you might benefit from implant and restorative dentistry services:
- Missing teeth affecting your smile and confidence
- Difficulty speaking or chewing due to tooth loss
- Concerns about bone loss in your jaw
- Decayed, fractured, or infected teeth requiring extraction
- Desire for a more permanent solution than dentures
- Need for a natural-looking tooth replacement option
Our advanced 3D imaging technology allows us to evaluate your bone structure with precision, ensuring you receive the most appropriate treatment for your unique needs. Whether you require dental implants, bridges, or other restorative options, we're here to help you regain your smile and oral health. Call Crescent Family Dentistry to make an appointment.
Reasons to Choose Crescent Family Dentistry
Choosing us for your implant and restorative dentistry needs offers numerous advantages:
- Local, family-owned practice
- All-female, friendly staff
- Over 15 years of experience
- American Dental Association member
- Personalized, quality service
- We listen to our patients' concerns and needs
- Flexible scheduling options
- Same-day crown service available
- Membership Club for added benefits
- We file with your insurance for convenience
Our commitment to providing a personal touch and listening to our patients guarantees that you receive tailored care that addresses your specific dental concerns. With our state-of-the-art technology and experienced team, you can trust that your smile is in good hands when you choose Crescent Family Dentistry. Call today to find out more.
Contact Us for Restorative Dental Care
Ready to transform your smile with implant and restorative dentistry? Crescent Family Dentistry is here to help. Our team is prepared to create a customized treatment plan that addresses your unique dental needs and goals. Whether you're considering dental implants, need restorative work, or simply want to explore your options, we're here to provide the guidance and care you deserve.
Reach out to us today to schedule a consultation.
- Bullet text
- Bullet text
- Bullet text
- Bullet text
- Bullet text
- Bullet text
- Bullet text
- Bullet text
- Bullet text
- Bullet text
Title or Question
Describe the item or answer the question so that site visitors who are interested get more information. You can emphasize this text with bullets, italics or bold, and add links.Title or Question
Describe the item or answer the question so that site visitors who are interested get more information. You can emphasize this text with bullets, italics or bold, and add links.Title or Question
Describe the item or answer the question so that site visitors who are interested get more information. You can emphasize this text with bullets, italics or bold, and add links.
CP #1 Headline
CP #1 Body
CP #1 CTA Lead-in
Not valid with any other offers or promotions. Restrictions apply.
Must mention this coupon at the time of scheduling.
Gallery Heading H2
Implant and Restorative Dentistry Video
Reviews
Flexible Scheduling
We offer appointment times that make dental care more accessible for you and your family.
Call to Schedule Your Visit






